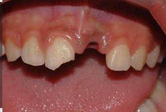
ATENDIMENTO URGENCIAL AOS TRAUMATISMOS DENTOALVEOLARES
🎯A equipe do SECOAM está sempre pronta para o(s) atendimento(s) urgencial, o(s) traumatismo(s) dentoalveolar(es) acontecem quando um impacto atinge a boca, face, cabeça e/ou pescoço; provocando lesões no(s) dente(s), gengiva(s), mucosa(s) e osso(s).
São comuns em situações como: quedas, agressões físicas, atividades esportivas, acidentes domésticos, acidentes de trabalho, acidentes automobilísticos.
ALGUNS EXEMPLOS QUE O SECOAM TRAZ PARA VOCÊ, DE SITUAÇÕES URGENCIAIS:
☑ Avulsão dentária (dente totalmente fora do alvéolo);
☑ Fraturas coronárias ou radiculares;
☑ Luxações (intrusiva, extrusiva, lateral);
☑ Sangramento gengival ou mobilidade aumentada pós-trauma;
☑ Dor intensa ou fratura óssea alveolar.
ORIENTAÇÃO IMPORTANTE:
O sucesso no manejo dos traumatismos dentoalveolares depende, em grande parte, de um atendimento de urgência rápido, correto e baseado em protocolos clínicos atualizados. O profissional deve estar preparado para agir com eficiência e segurança, garantindo não apenas a preservação da estrutura dentária, mas também a saúde, função e bem-estar do paciente.
🎯 Em todos os casos, O ATENDIMENTO DEVE SER IMEDIATO para aumentar as chances de salvar e preservar o dente, tecidos e ossos.
💖No SECOAM nós não geramos ou agravamos experiências traumáticas para o(a) nosso(a) paciente; muito pelo contrário, SÃO MAIS DE 24 ANOS ZELANDO POR VOCÊ, através de atendimentos de excelência na área da saúde, onde os procedimentos são realizados com SEDAÇÃO E SUPORTE ANESTESIOLÓGICO, sendo assim o(a) nosso(a) paciente tem uma EXPERIÊNCIA INCRÍVEL!
Nossa equipe prima pela EXCELÊNCIA EM TODOS OS DETALHES DA SUA JORNADA DE TRATAMENTO, por isso o(a) paciente sai encantado(a) do procedimento; e nos relata de forma unânime a EXPERIÊNCIA ÚNICA, EXCLUSIVA, TRANQUILA E SURPREENDENTE!
💖ZELAMOS PELA DIGNIDADE, BEM-ESTAR E QUALIDADE DE VIDA DE TODOS OS NOSSOS PACIENTES E SEUS FAMILIARES; AFINAL TODOS VOCÊS MERECEM O MELHOR!
💖FALE CONOSCO AGORA, E O SECOAM CUIDARÁ DE VOCÊ!


- 🎯Quando este tipo de tratamento e/ou atendimento é indicado?
O tratamento é necessário sempre que houver:
• Quebra ou fratura de parte do dente;
• Dente afrouxado ou deslocado após impacto;
• Avulsão dental (quando o dente sai completamente);
• Fraturas no osso alveolar (osso de sustentação);
• Alteração de cor, dor ou sensibilidade nos dentes após trauma;
• Sangramento ou lesões gengivais na região afetada.
🎯Por que tratar rápido?
O tempo é fundamental: quanto mais rápido o atendimento, maiores são as chances de salvar o dente e evitar complicações futuras, como infecções, dor crônica ou perda óssea.
🎯Por que um cuidado especializado?
Com avaliação e tratamento feitos pela equipe do SECOAM, você tem acesso a técnicas modernas que devolvem função, estética e saúde ao seu sorriso, mesmo após um acidente.
🎯A Importância dos Atendimentos de Urgência aos Traumatismos Dentoalveolares:
- Os traumatismos dentoalveolares constituem emergências odontológicas frequentes, especialmente em crianças e adolescentes, e podem envolver lesões nos dentes, periodonto, tecido ósseo alveolar e mucosas;
- Diante da natureza imprevisível e potencialmente grave dessas ocorrências, o atendimento imediato e adequado é fundamental para o prognóstico a curto, médio e longo prazo.
🎯 Importância do Atendimento de Urgência:
🔴 Preservação da vitalidade pulpar e estrutura dentária - entenda melhor:
O tempo entre o trauma e o atendimento é um fator crítico. Em casos como luxações ou avulsões, intervenções rápidas (reimplante, contenção e medicação adequada) podem salvar o dente e evitar necrose pulpar.
🔴 Prevenção de complicações futuras - entenda melhor:
A falta de tratamento imediato pode levar a consequências graves, como reabsorção radicular, anquilose, alterações no desenvolvimento dentofacial, infecções, ou perda definitiva do dente.
🔴 Melhoria no prognóstico funcional e estético - entenda melhor:
O cuidado emergencial correto aumenta as chances de reintegração do dente ao sistema estomatognático com boa função e estética, especialmente em regiões anteriores da arcada.
🔴 Orientação adequada ao paciente e familiares - entenda melhor:
- O atendimento de urgência é também um momento-chave para educar o(a) paciente e/ou responsáveis sobre questões importantes;
- A equipe do SECOAM zela por você e sua família, por isso nos preocupamos com as devidas orientações sobre:
* A necessidade do acompanhamento periódico;
* Os cuidados pós-trauma e sinais de alerta;
* Outras recomendações pertinentes a cada caso.
Essas questões importantes supracitadas, devem ser seguidas rigorosamente, para que ocorra o restabelecimento da saúde do(a) paciente; por isso tem toda atenção da equipe do SECOAM!
🔴 Documentação legal e ética - entenda melhor:
- Traumas dentários, especialmente em crianças, podem envolver causas externas (esportivas, acidentes ou até violência);
- O atendimento imediato permite registro clínico detalhado e, se necessário, o encaminhamento a órgãos competentes.
ALGUNS EXEMPLOS QUE O SECOAM TRAZ PARA VOCÊ, DE SITUAÇÕES URGENCIAIS:
☑ Avulsão dentária (dente totalmente fora do alvéolo);
☑ Fraturas coronárias ou radiculares;
☑ Luxações (intrusiva, extrusiva, lateral);
☑ Sangramento gengival ou mobilidade aumentada pós-trauma;
☑ Dor intensa ou fratura óssea alveolar.
ORIENTAÇÃO IMPORTANTE:
🎯 O sucesso no manejo dos traumatismos dentoalveolares depende, em grande parte, de um atendimento de urgência rápido, correto e baseado em protocolos clínicos atualizados. O profissional deve estar preparado para agir com eficiência e segurança, garantindo não apenas a preservação da estrutura dentária, mas também a saúde, função e bem-estar do paciente.
💖No SECOAM nós não geramos ou agravamos experiências traumáticas para o(a) nosso(a) paciente; muito pelo contrário, SÃO MAIS DE 24 ANOS ZELANDO POR VOCÊ, através de atendimentos de excelência na área da saúde, onde os procedimentos são realizados com SEDAÇÃO E SUPORTE ANESTESIOLÓGICO, sendo assim o(a) nosso(a) paciente tem uma EXPERIÊNCIA INCRÍVEL!
💖Nossa equipe prima pela EXCELÊNCIA EM TODOS OS DETALHES DA SUA JORNADA DE TRATAMENTO, por isso o(a) paciente sai encantado(a) do procedimento; e nos relata de forma unânime a EXPERIÊNCIA ÚNICA, EXCLUSIVA, TRANQUILA E SURPREENDENTE!
💖ZELAMOS PELA DIGNIDADE, BEM-ESTAR E QUALIDADE DE VIDA DE TODOS OS NOSSOS PACIENTES E SEUS FAMILIARES; AFINAL TODOS VOCÊS MERECEM O MELHOR!
💖FALE CONOSCO AGORA, E O SECOAM CUIDARÁ DE VOCÊ!

Avaliação clínica e exames complementares
O dentista identifica o problema e realiza exames para planejar o tratamento.
Anestesia local
A região é anestesiada para garantir conforto e controle da dor.
Procedimento específico
É realizado o tratamento necessário: restauração, extração, canal ou outro.
Pós-operatório e medicação
São dadas orientações sobre medicação, alimentação e cuidados com a higiene bucal.
Retorno e acompanhamento
Consultas de revisão são agendadas para garantir o sucesso do tratamento.
✅ Melhora na Qualidade de Vida
🩺 Atendimento Humanizado
🪞 +Autoestima e Confiança
🖥️ Diagnóstico com Alta Precisão
💤 Alívio de Dores e Desconfortos
🛡️ Prevenção de Complicações Futuras


ATENDIMENTO URGENCIAL AOS TRAUMATISMOS DENTOALVEOLARES
🎯A equipe do SECOAM está sempre pronta para o(s) atendimento(s) urgencial, o(s) traumatismo(s) dentoalveolar(es) acontecem quando um impacto atinge a boca, face, cabeça e/ou pescoço; provocando lesões no(s) dente(s), gengiva(s), mucosa(s) e osso(s).
São comuns em situações como: quedas, agressões físicas, atividades esportivas, acidentes domésticos, acidentes de trabalho, acidentes automobilísticos.
ALGUNS EXEMPLOS QUE O SECOAM TRAZ PARA VOCÊ, DE SITUAÇÕES URGENCIAIS:
☑ Avulsão dentária (dente totalmente fora do alvéolo);
☑ Fraturas coronárias ou radiculares;
☑ Luxações (intrusiva, extrusiva, lateral);
☑ Sangramento gengival ou mobilidade aumentada pós-trauma;
☑ Dor intensa ou fratura óssea alveolar.
ORIENTAÇÃO IMPORTANTE:
O sucesso no manejo dos traumatismos dentoalveolares depende, em grande parte, de um atendimento de urgência rápido, correto e baseado em protocolos clínicos atualizados. O profissional deve estar preparado para agir com eficiência e segurança, garantindo não apenas a preservação da estrutura dentária, mas também a saúde, função e bem-estar do paciente.
🎯 Em todos os casos, O ATENDIMENTO DEVE SER IMEDIATO para aumentar as chances de salvar e preservar o dente, tecidos e ossos.
💖No SECOAM nós não geramos ou agravamos experiências traumáticas para o(a) nosso(a) paciente; muito pelo contrário, SÃO MAIS DE 24 ANOS ZELANDO POR VOCÊ, através de atendimentos de excelência na área da saúde, onde os procedimentos são realizados com SEDAÇÃO E SUPORTE ANESTESIOLÓGICO, sendo assim o(a) nosso(a) paciente tem uma EXPERIÊNCIA INCRÍVEL!
Nossa equipe prima pela EXCELÊNCIA EM TODOS OS DETALHES DA SUA JORNADA DE TRATAMENTO, por isso o(a) paciente sai encantado(a) do procedimento; e nos relata de forma unânime a EXPERIÊNCIA ÚNICA, EXCLUSIVA, TRANQUILA E SURPREENDENTE!
💖ZELAMOS PELA DIGNIDADE, BEM-ESTAR E QUALIDADE DE VIDA DE TODOS OS NOSSOS PACIENTES E SEUS FAMILIARES; AFINAL TODOS VOCÊS MERECEM O MELHOR!
💖FALE CONOSCO AGORA, E O SECOAM CUIDARÁ DE VOCÊ!

- 🎯Quando este tipo de tratamento e/ou atendimento é indicado?
O tratamento é necessário sempre que houver:
• Quebra ou fratura de parte do dente;
• Dente afrouxado ou deslocado após impacto;
• Avulsão dental (quando o dente sai completamente);
• Fraturas no osso alveolar (osso de sustentação);
• Alteração de cor, dor ou sensibilidade nos dentes após trauma;
• Sangramento ou lesões gengivais na região afetada.
🎯Por que tratar rápido?
O tempo é fundamental: quanto mais rápido o atendimento, maiores são as chances de salvar o dente e evitar complicações futuras, como infecções, dor crônica ou perda óssea.
🎯Por que um cuidado especializado?
Com avaliação e tratamento feitos pela equipe do SECOAM, você tem acesso a técnicas modernas que devolvem função, estética e saúde ao seu sorriso, mesmo após um acidente.
🎯A Importância dos Atendimentos de Urgência aos Traumatismos Dentoalveolares:
- Os traumatismos dentoalveolares constituem emergências odontológicas frequentes, especialmente em crianças e adolescentes, e podem envolver lesões nos dentes, periodonto, tecido ósseo alveolar e mucosas;
- Diante da natureza imprevisível e potencialmente grave dessas ocorrências, o atendimento imediato e adequado é fundamental para o prognóstico a curto, médio e longo prazo.
🎯 Importância do Atendimento de Urgência:
🔴 Preservação da vitalidade pulpar e estrutura dentária - entenda melhor:
O tempo entre o trauma e o atendimento é um fator crítico. Em casos como luxações ou avulsões, intervenções rápidas (reimplante, contenção e medicação adequada) podem salvar o dente e evitar necrose pulpar.
🔴 Prevenção de complicações futuras - entenda melhor:
A falta de tratamento imediato pode levar a consequências graves, como reabsorção radicular, anquilose, alterações no desenvolvimento dentofacial, infecções, ou perda definitiva do dente.
🔴 Melhoria no prognóstico funcional e estético - entenda melhor:
O cuidado emergencial correto aumenta as chances de reintegração do dente ao sistema estomatognático com boa função e estética, especialmente em regiões anteriores da arcada.
🔴 Orientação adequada ao paciente e familiares - entenda melhor:
- O atendimento de urgência é também um momento-chave para educar o(a) paciente e/ou responsáveis sobre questões importantes;
- A equipe do SECOAM zela por você e sua família, por isso nos preocupamos com as devidas orientações sobre:
* A necessidade do acompanhamento periódico;
* Os cuidados pós-trauma e sinais de alerta;
* Outras recomendações pertinentes a cada caso.
Essas questões importantes supracitadas, devem ser seguidas rigorosamente, para que ocorra o restabelecimento da saúde do(a) paciente; por isso tem toda atenção da equipe do SECOAM!
🔴 Documentação legal e ética - entenda melhor:
- Traumas dentários, especialmente em crianças, podem envolver causas externas (esportivas, acidentes ou até violência);
- O atendimento imediato permite registro clínico detalhado e, se necessário, o encaminhamento a órgãos competentes.
ALGUNS EXEMPLOS QUE O SECOAM TRAZ PARA VOCÊ, DE SITUAÇÕES URGENCIAIS:
☑ Avulsão dentária (dente totalmente fora do alvéolo);
☑ Fraturas coronárias ou radiculares;
☑ Luxações (intrusiva, extrusiva, lateral);
☑ Sangramento gengival ou mobilidade aumentada pós-trauma;
☑ Dor intensa ou fratura óssea alveolar.
ORIENTAÇÃO IMPORTANTE:
🎯 O sucesso no manejo dos traumatismos dentoalveolares depende, em grande parte, de um atendimento de urgência rápido, correto e baseado em protocolos clínicos atualizados. O profissional deve estar preparado para agir com eficiência e segurança, garantindo não apenas a preservação da estrutura dentária, mas também a saúde, função e bem-estar do paciente.
💖No SECOAM nós não geramos ou agravamos experiências traumáticas para o(a) nosso(a) paciente; muito pelo contrário, SÃO MAIS DE 24 ANOS ZELANDO POR VOCÊ, através de atendimentos de excelência na área da saúde, onde os procedimentos são realizados com SEDAÇÃO E SUPORTE ANESTESIOLÓGICO, sendo assim o(a) nosso(a) paciente tem uma EXPERIÊNCIA INCRÍVEL!
💖Nossa equipe prima pela EXCELÊNCIA EM TODOS OS DETALHES DA SUA JORNADA DE TRATAMENTO, por isso o(a) paciente sai encantado(a) do procedimento; e nos relata de forma unânime a EXPERIÊNCIA ÚNICA, EXCLUSIVA, TRANQUILA E SURPREENDENTE!
💖ZELAMOS PELA DIGNIDADE, BEM-ESTAR E QUALIDADE DE VIDA DE TODOS OS NOSSOS PACIENTES E SEUS FAMILIARES; AFINAL TODOS VOCÊS MERECEM O MELHOR!
💖FALE CONOSCO AGORA, E O SECOAM CUIDARÁ DE VOCÊ!

COMENTÁRIOS E AVALIAÇÕES
5.0
"Foi a cirurgia que mudou tudo na minha vida. Eu sofria com muitas dores e baixa autoestima por conta de problemas na minha articulação (ATM ). Graças ao Dr. Roger e sua equipe, recuperei minha qualidade de vida e meu bem-estar; pois as dores de cabeça horríveis acabaram e recuperei o prazer de viver ."
Juliana Torres, 29 anos
5.0
“Passei anos inseguro com meu rosto e problemas na mordida. O Dr. Roger e sua equipe foram impecáveis em todo o processo. O resultado superou todas as minhas expectativas.”
Rodrigo Almeida, 35 anos
5.0
“Tinha apneia do sono e vivia cansada. Depois da ortognática, minha respiração melhorou demais e a mudança estética foi um bônus incrível. Valeu a pena cada etapa.”
Fernanda Lopes, 41 anos
5.0
"Os procedimentos de rejuvenescimento facial no SECOAM foi um divisor de águas. Atendimento ESPETACULAR, estrutura de excelência e o Dr. Roger é um profissional exemplar e um ser humano com um coração gigante. Sinceramente, meu sonho foi realizado, eu me sinto outra pessoa."
Ana Maria Dias, 52 anos
Por quE escolher O SECOAM?

Diagnóstico e planejamento preciso
Por serem bases fundamentais na área da saúde e garantirem a excelência nos tratamentos realizados, esses são 2 pilares que o SECOAM segue rigorosamente.
Nos locais onde você encontra o SECOAM, você terá PRECISÃO NO DIAGNÓSTICO, O MAIS ALTO PADRÃO EM CUIDADOS COM A SUA SAÚDE E EXCELÊNCIA NO RESULTADO, sendo atendido(a) por equipes altamente qualificadas e atualizadas, que são lideradas por profissionais com ampla experiência nas diversas áreas da saúde.

ESTRUTURAS MODERNAS E PLANEJADAS
O SECOAM é um serviço premium, que está presente em locais de saúde que primam pela excelência; onde cada detalhe foi pensado, para que você se sinta acolhido(a), seguro(a) e confiante que fez escolha certa!
Todos os locais possuem equipamentos de última geração, e uma estrutura planejada para lhe oferecer uma experiência incrível. É NOSSO PROPÓSITO, QUE VOCÊ TENHA O MELHOR ATENDIMENTO NA ÁREA DA SAÚDE durante toda a sua jornada de tratamento.

ATENDIMENTO HUMANIZADO E INDIVIDUALIZADO
Todos nós que compomos as equipes do SECOAM, acreditamos que cada paciente é único, SENDO ASSIM CADA PACIENTE TEM UMA HISTÓRIA, E CADA HISTÓRIA MERECE SER OUVIDA, COM ATENÇÃO E RESPEITO.
Por isso, a construção de cada plano de tratamento é individualizado, OU SEJA, PENSADO ESPECIALMENTE PARA VOCÊ.
Sendo assim o nosso atendimento é prioritariamente baseado no acolhimento, empatia verdadeira e escuta ativa, desenvolvendo uma conexão genuína,
respeitando sempre às necessidades e expectativas individuais.
O SECOAM SEGUE DE FORMA HUMANIZADA, REALIZANDO SONHOS E TRANSFORMANDO VIDAS, sempre primando pela excelência em cada etapa do tratamento a ser realizado, melhorando a qualidade de vida e o bem-estar do(a) paciente e de seu(s) familiar(es).
Diferenciais do Dr. Roger Flores de Carvalho
1
Formação de Excelência
Referência na área da saúde no estado do Rio de Janeiro. Doutorando em Ciências da Reabilitação. Mestre em Urgência e Emergência. Cirurgião Bucomaxilofacial. Especialista e Pós-graduado em inúmeras áreas da saúde. Esses elementos juntos, definem uma formação de excelência, não apenas pelo conteúdo acadêmico, mas pela capacidade de transformar esse conhecimento em cuidado, inovação e impacto real na saúde das pessoas.
Acredito que a saúde começa no cuidado, passa pelo vínculo de confiança e floresce em cada detalhe: no olhar atencioso, no atendimento humanizado e na certeza de que você está em boas mãos.
2
Experiência Clínica
Mais de 24 anos de atuação, com milhares de pacientes tratados com sucesso. A excelência e experiência clínica de um profissional de cirurgia é caracterizada por uma combinação de habilidades técnicas, conhecimento aprofundado, comunicação eficaz com o paciente e uma abordagem ética e responsável.
Um cirurgião como Dr. Roger não apenas executa procedimentos com maestria, mas também garante a segurança do paciente, oferece um acompanhamento cuidadoso e mantém-se atualizado com as últimas inovações da área.
3
Atuação Hospitalar
Cirurgião bucomaxilofacial atuando em diversos hospitais de referência, realizando cirurgias eletivas e de urgência de alta complexidade.
O Dr. Roger atua com precisão, responsabilidade e profundo respeito à vida. No ambiente hospitalar, sua excelência vai além da técnica; cada gesto carrega ciência, cada decisão, ética e cuidado.
4
Tecnologia de Ponta
Utilização de exames de imagem avançados, como ressonâncias magnéticas, tomografias computadorizadas, e planejamentos cirúrgicos digitais para os tratamentos individualizados.
Cada avanço é incorporado para elevar a qualidade do nosso trabalho; técnica e tecnologia garantem segurança e excelência. Dr. Roger traz a ciência a serviço do seu bem-estar.
Convênios
Aceitamos a maioria dos planos de saúde
(alguns por reembolso).
Se o seu convênio for registrado na ANS (Agência Nacional de Saúde Suplementar), os procedimentos cirúrgicos bucomaxilofaciais incluindo internação, anestesista e materiais requeridos deverão ser cobertos pelo mesmo.
Desta forma Dr. Roger F. de Carvalho é devidamente habilitado, e portanto está apto a atender todos os convênios ou planos de saúde de âmbito nacional.
Para você conhecer melhor não só seus direitos, como também as normativas e resoluções relacionadas aos convênios ou planos de saúde, acesse:
CONSULTORIA, ASSESSORIA E MENTORIA (CAM)
O SECOAM oferece a CAM, que é um grandioso projeto envolvendo: suporte, otimização e planejamento; onde serão apresentadas soluções inéditas e individualizadas, dentro da realidade de cada profissional. Para que sua vida profissional siga sempre os caminhos da excelência, prosperidade e sucesso!
FALE CONOSCO E FAÇA PARTE DESTA EQUIPE, SENDO MAIS UM PARCEIRO(A) DE SUCESSO DO SECOAM.
SEJA BEM-VINDO(A), ESTAMOS JUNTOS NESSA!
Importante: A CAM não é restrita aos profissionais da odontologia; e sim aberta a todos os profissionais da área da saúde e profissionais afins.















































