CIRURGIA HUMANIZADA PARA OS DENTES DO SISO
🎯 PARA O MAIOR CONFORTO E REDUÇÃO DO QUADRO DE MEDO, FOBIA E/OU ANSIEDADE DO(A) PACIENTE; A EQUIPE DO SECOAM TAMBÉM REALIZA ESSE TIPO DE PROCEDIMENTO COM SEDAÇÃO.
As remoções dos dentes do siso também chamada de extrações dos terceiros molares, são procedimentos cirúrgicos feitos para retirar os últimos dentes da boca.
Esses dentes, por nascerem por último e em uma região de difícil acesso, muitas vezes não encontram espaço suficiente e acabam causando inúmeros problemas.
🎯 IDADE IDEAL PARA EXTRAIR OS DENTES DO SISO
A faixa etária ideal é entre os 16 e 25 anos, quando:
🔶 As raízes ainda estão em formação (o que facilita a cirurgia e a recuperação);
🔶 O osso é mais maleável;
🔶 O risco de complicações é menor;
🔶 O pós-operatório tende a ser mais tranquilo.
Após os 30 anos, a cirurgia ainda pode ser feita com segurança, mas pode ter recuperação um pouco mais lenta, especialmente se os dentes já estiverem com raízes completamente formadas ou envolvidos por ossos mais densos.
💖Nossa equipe prima pela EXCELÊNCIA EM TODOS OS DETALHES DA SUA JORNADA DE TRATAMENTO, por isso o(a) paciente sai encantado(a) do procedimento; e nos relata de forma unânime a EXPERIÊNCIA ÚNICA, EXCLUSIVA, TRANQUILA E SURPREENDENTE!
💖ZELAMOS PELA DIGNIDADE, BEM-ESTAR E QUALIDADE DE VIDA DE TODOS OS NOSSOS PACIENTES E SEUS FAMILIARES; AFINAL TODOS VOCÊS MERECEM O MELHOR!
💖FALE CONOSCO AGORA, E O SECOAM CUIDARÁ DE VOCÊ!


- O SECOAM TRAZ AS PRINCIPAIS INDICAÇÕES PARA A CIRURGIA DOS DENTES DO SISO:
ATENÇÃO! A remoção dos sisos nem sempre é obrigatória, mas há situações clínicas específicas em que a cirurgia é altamente recomendada:
🔶 Falta de espaço na arcada dentária
Quando o siso tenta nascer e não há espaço suficiente, pode empurrar outros dentes, causando entortamento ou desalinhamento.
🔶 Dente incluso, parcialmente incluso ou mal posicionados
Sisos que não nasceram completamente (ou estão "presos" dentro do osso ou gengiva) aumentam o risco de:
- Cistos e lesões ósseas associadas ao dente;
- Infecções gengivais (pericoronarite);
- Dor constante ou recorrente.
🔶 Inflamações frequentes ou infecções na gengiva (pericoronarite)
Muito comum em sisos semi-inclusos. A gengiva ao redor inflama com frequência, causando dor, inchaço e dificuldade para mastigar.
🔶 Cáries ou problemas gengivais pela dificuldade de higienização
Sisos localizados muito atrás dificultam a escovação e o uso do fio dental, favorecendo o acúmulo de bactérias e o desenvolvimento de cáries profundas, tanto neles quanto no dente vizinho, ou problemas gengivais
🔶 Cistos, reabsorções ou danos aos dentes vizinhos
O siso pode pressionar a raiz do dente adjacente, causando reabsorção da raiz, dor e até perda dentária.
🔶 Indicação ortodôntica ou protética, para auxiliar no resultado do tratamento
🎯 CIRURGIA DOS SISOS COM SEDAÇÃO:
O SECOAM, é sinônimo de conforto e segurança em cada detalhe.
A cirurgia dos sisos pode gerar preocupação em muitos pacientes. Pensando nisso, oferecemos a opção de diferentes protocolos de sedação, um recurso moderno que proporciona tranquilidade durante todo o procedimento.
O que é a cirurgia com sedação?
É um procedimento em que, além da anestesia local, o paciente recebe uma sedação leve que o deixa relaxado, diminuindo ansiedade, medo e desconforto. O tratamento é realizado com monitoramento constante, garantindo máxima segurança.
Benefícios da cirurgia dos sisos com sedação:
🟧 Experiência sem dor e sem ansiedade;
🟧 Maior conforto físico e emocional;
🟧 Procedimento mais tranquilo e rápido;
🟧 Redução do estresse antes, durante e após a cirurgia;
🟧 Recuperação mais agradável.
Para quem é indicada a sedação?
A cirurgia dos sisos com sedação é ideal para pacientes que:
🟪 Sentem medo ou ansiedade em procedimentos odontológicos;
🟪 Precisam remover mais de um siso no mesmo dia;
🟪 Procuram uma experiência confortável e sem traumas.
🎯 Por que seu bem-estar em primeiro lugar?
💖Porque no SECOAM você tem a excelência te acompanhando em toda a sua jornada, contando com todo o suporte de uma equipe altamente qualificada e técnicas modernas de sedação, sua cirurgia dos sisos se torna um procedimento seguro, tranquilo e humanizado, para que você cuide da saúde sem preocupações.
VOCÊ SABIA que os dentes do siso “ também são conhecidos por dentes do juízo – por geralmente nascerem entre 16 e 21 anos, a idade da sabedoria, percepção, sentido ou bom senso – a palavra SISO vem do latim SENSUS “.
🎯 IDADE IDEAL PARA EXTRAIR OS DENTES DO SISO
A faixa etária ideal é entre os 16 e 25 anos, quando:
🔶 As raízes ainda estão em formação (o que facilita a cirurgia e a recuperação);
🔶 O osso é mais maleável;
🔶 O risco de complicações é menor;
🔶 O pós-operatório tende a ser mais tranquilo.
Após os 30 anos, a cirurgia ainda pode ser feita com segurança, mas pode ter recuperação um pouco mais lenta, especialmente se os dentes já estiverem com raízes completamente formadas ou envolvidos por ossos mais densos.
🛑QUANDO É HORA DE TIRAR O SISO?
🛑Você NÃO precisa esperar sentir dor para fazer a cirurgia, PENSE NISSO!
🛑Siso incluso?
🛑Dente empurrando os outros?
🛑Gengiva sempre inflamada?
🛑Dificuldade para escovar?
🛑É hora de agendar sua avaliação!
🛑Faixa ideal: dos 16 aos 25 anos.
🛑Cuide hoje, evite problemas amanhã – FALE COM O SECOAM!
💖No SECOAM nós não geramos ou agravamos experiências traumáticas para o(a) nosso(a) paciente; muito pelo contrário, SÃO MAIS DE 24 ANOS ZELANDO POR VOCÊ, através de atendimentos de excelência na área da saúde, onde os procedimentos são realizados com SEDAÇÃO E SUPORTE ANESTESIOLÓGICO, sendo assim o(a) nosso(a) paciente tem uma EXPERIÊNCIA INCRÍVEL!
💖Nossa equipe prima pela EXCELÊNCIA EM TODOS OS DETALHES DA SUA JORNADA DE TRATAMENTO, por isso o(a) paciente sai encantado(a) do procedimento; e nos relata de forma unânime a EXPERIÊNCIA ÚNICA, EXCLUSIVA, TRANQUILA E SURPREENDENTE!
💖ZELAMOS PELA DIGNIDADE, BEM-ESTAR E QUALIDADE DE VIDA DE TODOS OS NOSSOS PACIENTES E SEUS FAMILIARES; AFINAL TODOS VOCÊS MERECEM O MELHOR!
💖FALE CONOSCO AGORA, E O SECOAM CUIDARÁ DE VOCÊ!

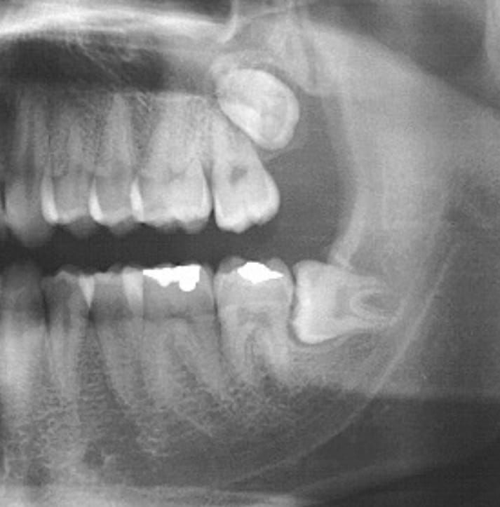
Avaliação clínica e por imagem
O dentista solicita radiografias ou tomografia para entender a posição dos sisos e planejar a extração.
Anestesia local
A região é anestesiada para garantir que o procedimento seja indolor.
Acesso e remoção
É feita uma pequena incisão na gengiva, o dente é removido com instrumentos cirúrgicos e o local é suturado.
Cuidados pós-operatórios
São prescritos medicamentos e orientações sobre alimentação, higiene e repouso.
Acompanhamento
O paciente retorna após alguns dias para avaliar a cicatrização e, se necessário, remover os pontos.
✅ Melhora na Qualidade de Vida
🩺 Atendimento Humanizado
🪞 +Autoestima e Confiança
🖥️ Diagnóstico com Alta Precisão
💤 Alívio de Dores e Desconfortos
🛡️ Prevenção de Complicações Futuras


CIRURGIA HUMANIZADA PARA OS DENTES DO SISO
🎯 PARA O MAIOR CONFORTO E REDUÇÃO DO QUADRO DE MEDO, FOBIA E/OU ANSIEDADE DO(A) PACIENTE; A EQUIPE DO SECOAM TAMBÉM REALIZA ESSE TIPO DE PROCEDIMENTO COM SEDAÇÃO.
As remoções dos dentes do siso também chamada de extrações dos terceiros molares, são procedimentos cirúrgicos feitos para retirar os últimos dentes da boca.
Esses dentes, por nascerem por último e em uma região de difícil acesso, muitas vezes não encontram espaço suficiente e acabam causando inúmeros problemas.
🎯 IDADE IDEAL PARA EXTRAIR OS DENTES DO SISO
A faixa etária ideal é entre os 16 e 25 anos, quando:
🔶 As raízes ainda estão em formação (o que facilita a cirurgia e a recuperação);
🔶 O osso é mais maleável;
🔶 O risco de complicações é menor;
🔶 O pós-operatório tende a ser mais tranquilo.
Após os 30 anos, a cirurgia ainda pode ser feita com segurança, mas pode ter recuperação um pouco mais lenta, especialmente se os dentes já estiverem com raízes completamente formadas ou envolvidos por ossos mais densos.
💖Nossa equipe prima pela EXCELÊNCIA EM TODOS OS DETALHES DA SUA JORNADA DE TRATAMENTO, por isso o(a) paciente sai encantado(a) do procedimento; e nos relata de forma unânime a EXPERIÊNCIA ÚNICA, EXCLUSIVA, TRANQUILA E SURPREENDENTE!
💖ZELAMOS PELA DIGNIDADE, BEM-ESTAR E QUALIDADE DE VIDA DE TODOS OS NOSSOS PACIENTES E SEUS FAMILIARES; AFINAL TODOS VOCÊS MERECEM O MELHOR!
💖FALE CONOSCO AGORA, E O SECOAM CUIDARÁ DE VOCÊ!

- O SECOAM TRAZ AS PRINCIPAIS INDICAÇÕES PARA A CIRURGIA DOS DENTES DO SISO:
ATENÇÃO! A remoção dos sisos nem sempre é obrigatória, mas há situações clínicas específicas em que a cirurgia é altamente recomendada:
🔶 Falta de espaço na arcada dentária
Quando o siso tenta nascer e não há espaço suficiente, pode empurrar outros dentes, causando entortamento ou desalinhamento.
🔶 Dente incluso, parcialmente incluso ou mal posicionados
Sisos que não nasceram completamente (ou estão "presos" dentro do osso ou gengiva) aumentam o risco de:
- Cistos e lesões ósseas associadas ao dente;
- Infecções gengivais (pericoronarite);
- Dor constante ou recorrente.
🔶 Inflamações frequentes ou infecções na gengiva (pericoronarite)
Muito comum em sisos semi-inclusos. A gengiva ao redor inflama com frequência, causando dor, inchaço e dificuldade para mastigar.
🔶 Cáries ou problemas gengivais pela dificuldade de higienização
Sisos localizados muito atrás dificultam a escovação e o uso do fio dental, favorecendo o acúmulo de bactérias e o desenvolvimento de cáries profundas, tanto neles quanto no dente vizinho, ou problemas gengivais
🔶 Cistos, reabsorções ou danos aos dentes vizinhos
O siso pode pressionar a raiz do dente adjacente, causando reabsorção da raiz, dor e até perda dentária.
🔶 Indicação ortodôntica ou protética, para auxiliar no resultado do tratamento
🎯 CIRURGIA DOS SISOS COM SEDAÇÃO:
O SECOAM, é sinônimo de conforto e segurança em cada detalhe.
A cirurgia dos sisos pode gerar preocupação em muitos pacientes. Pensando nisso, oferecemos a opção de diferentes protocolos de sedação, um recurso moderno que proporciona tranquilidade durante todo o procedimento.
O que é a cirurgia com sedação?
É um procedimento em que, além da anestesia local, o paciente recebe uma sedação leve que o deixa relaxado, diminuindo ansiedade, medo e desconforto. O tratamento é realizado com monitoramento constante, garantindo máxima segurança.
Benefícios da cirurgia dos sisos com sedação:
🟧 Experiência sem dor e sem ansiedade;
🟧 Maior conforto físico e emocional;
🟧 Procedimento mais tranquilo e rápido;
🟧 Redução do estresse antes, durante e após a cirurgia;
🟧 Recuperação mais agradável.
Para quem é indicada a sedação?
A cirurgia dos sisos com sedação é ideal para pacientes que:
🟪 Sentem medo ou ansiedade em procedimentos odontológicos;
🟪 Precisam remover mais de um siso no mesmo dia;
🟪 Procuram uma experiência confortável e sem traumas.
🎯 Por que seu bem-estar em primeiro lugar?
💖Porque no SECOAM você tem a excelência te acompanhando em toda a sua jornada, contando com todo o suporte de uma equipe altamente qualificada e técnicas modernas de sedação, sua cirurgia dos sisos se torna um procedimento seguro, tranquilo e humanizado, para que você cuide da saúde sem preocupações.
VOCÊ SABIA que os dentes do siso “ também são conhecidos por dentes do juízo – por geralmente nascerem entre 16 e 21 anos, a idade da sabedoria, percepção, sentido ou bom senso – a palavra SISO vem do latim SENSUS “.
🎯 IDADE IDEAL PARA EXTRAIR OS DENTES DO SISO
A faixa etária ideal é entre os 16 e 25 anos, quando:
🔶 As raízes ainda estão em formação (o que facilita a cirurgia e a recuperação);
🔶 O osso é mais maleável;
🔶 O risco de complicações é menor;
🔶 O pós-operatório tende a ser mais tranquilo.
Após os 30 anos, a cirurgia ainda pode ser feita com segurança, mas pode ter recuperação um pouco mais lenta, especialmente se os dentes já estiverem com raízes completamente formadas ou envolvidos por ossos mais densos.
🛑QUANDO É HORA DE TIRAR O SISO?
🛑Você NÃO precisa esperar sentir dor para fazer a cirurgia, PENSE NISSO!
🛑Siso incluso?
🛑Dente empurrando os outros?
🛑Gengiva sempre inflamada?
🛑Dificuldade para escovar?
🛑É hora de agendar sua avaliação!
🛑Faixa ideal: dos 16 aos 25 anos.
🛑Cuide hoje, evite problemas amanhã – FALE COM O SECOAM!
💖No SECOAM nós não geramos ou agravamos experiências traumáticas para o(a) nosso(a) paciente; muito pelo contrário, SÃO MAIS DE 24 ANOS ZELANDO POR VOCÊ, através de atendimentos de excelência na área da saúde, onde os procedimentos são realizados com SEDAÇÃO E SUPORTE ANESTESIOLÓGICO, sendo assim o(a) nosso(a) paciente tem uma EXPERIÊNCIA INCRÍVEL!
💖Nossa equipe prima pela EXCELÊNCIA EM TODOS OS DETALHES DA SUA JORNADA DE TRATAMENTO, por isso o(a) paciente sai encantado(a) do procedimento; e nos relata de forma unânime a EXPERIÊNCIA ÚNICA, EXCLUSIVA, TRANQUILA E SURPREENDENTE!
💖ZELAMOS PELA DIGNIDADE, BEM-ESTAR E QUALIDADE DE VIDA DE TODOS OS NOSSOS PACIENTES E SEUS FAMILIARES; AFINAL TODOS VOCÊS MERECEM O MELHOR!
💖FALE CONOSCO AGORA, E O SECOAM CUIDARÁ DE VOCÊ!

COMENTÁRIOS E AVALIAÇÕES
5.0
"Foi a cirurgia que mudou tudo na minha vida. Eu sofria com muitas dores e baixa autoestima por conta de problemas na minha articulação (ATM ). Graças ao Dr. Roger e sua equipe, recuperei minha qualidade de vida e meu bem-estar; pois as dores de cabeça horríveis acabaram e recuperei o prazer de viver ."
Juliana Torres, 29 anos
5.0
“Passei anos inseguro com meu rosto e problemas na mordida. O Dr. Roger e sua equipe foram impecáveis em todo o processo. O resultado superou todas as minhas expectativas.”
Rodrigo Almeida, 35 anos
5.0
“Tinha apneia do sono e vivia cansada. Depois da ortognática, minha respiração melhorou demais e a mudança estética foi um bônus incrível. Valeu a pena cada etapa.”
Fernanda Lopes, 41 anos
5.0
"Os procedimentos de rejuvenescimento facial no SECOAM foi um divisor de águas. Atendimento ESPETACULAR, estrutura de excelência e o Dr. Roger é um profissional exemplar e um ser humano com um coração gigante. Sinceramente, meu sonho foi realizado, eu me sinto outra pessoa."
Ana Maria Dias, 52 anos
Por quE escolher O SECOAM?

Diagnóstico e planejamento preciso
Por serem bases fundamentais na área da saúde e garantirem a excelência nos tratamentos realizados, esses são 2 pilares que o SECOAM segue rigorosamente.
Nos locais onde você encontra o SECOAM, você terá PRECISÃO NO DIAGNÓSTICO, O MAIS ALTO PADRÃO EM CUIDADOS COM A SUA SAÚDE E EXCELÊNCIA NO RESULTADO, sendo atendido(a) por equipes altamente qualificadas e atualizadas, que são lideradas por profissionais com ampla experiência nas diversas áreas da saúde.

ESTRUTURAS MODERNAS E PLANEJADAS
O SECOAM é um serviço premium, que está presente em locais de saúde que primam pela excelência; onde cada detalhe foi pensado, para que você se sinta acolhido(a), seguro(a) e confiante que fez escolha certa!
Todos os locais possuem equipamentos de última geração, e uma estrutura planejada para lhe oferecer uma experiência incrível. É NOSSO PROPÓSITO, QUE VOCÊ TENHA O MELHOR ATENDIMENTO NA ÁREA DA SAÚDE durante toda a sua jornada de tratamento.

ATENDIMENTO HUMANIZADO E INDIVIDUALIZADO
Todos nós que compomos as equipes do SECOAM, acreditamos que cada paciente é único, SENDO ASSIM CADA PACIENTE TEM UMA HISTÓRIA, E CADA HISTÓRIA MERECE SER OUVIDA, COM ATENÇÃO E RESPEITO.
Por isso, a construção de cada plano de tratamento é individualizado, OU SEJA, PENSADO ESPECIALMENTE PARA VOCÊ.
Sendo assim o nosso atendimento é prioritariamente baseado no acolhimento, empatia verdadeira e escuta ativa, desenvolvendo uma conexão genuína,
respeitando sempre às necessidades e expectativas individuais.
O SECOAM SEGUE DE FORMA HUMANIZADA, REALIZANDO SONHOS E TRANSFORMANDO VIDAS, sempre primando pela excelência em cada etapa do tratamento a ser realizado, melhorando a qualidade de vida e o bem-estar do(a) paciente e de seu(s) familiar(es).
Diferenciais do Dr. Roger Flores de Carvalho
1
Formação de Excelência
Referência na área da saúde no estado do Rio de Janeiro. Doutorando em Ciências da Reabilitação. Mestre em Urgência e Emergência. Cirurgião Bucomaxilofacial. Especialista e Pós-graduado em inúmeras áreas da saúde. Esses elementos juntos, definem uma formação de excelência, não apenas pelo conteúdo acadêmico, mas pela capacidade de transformar esse conhecimento em cuidado, inovação e impacto real na saúde das pessoas.
Acredito que a saúde começa no cuidado, passa pelo vínculo de confiança e floresce em cada detalhe: no olhar atencioso, no atendimento humanizado e na certeza de que você está em boas mãos.
2
Experiência Clínica
Mais de 24 anos de atuação, com milhares de pacientes tratados com sucesso. A excelência e experiência clínica de um profissional de cirurgia é caracterizada por uma combinação de habilidades técnicas, conhecimento aprofundado, comunicação eficaz com o paciente e uma abordagem ética e responsável.
Um cirurgião como Dr. Roger não apenas executa procedimentos com maestria, mas também garante a segurança do paciente, oferece um acompanhamento cuidadoso e mantém-se atualizado com as últimas inovações da área.
3
Atuação Hospitalar
Cirurgião bucomaxilofacial atuando em diversos hospitais de referência, realizando cirurgias eletivas e de urgência de alta complexidade.
O Dr. Roger atua com precisão, responsabilidade e profundo respeito à vida. No ambiente hospitalar, sua excelência vai além da técnica; cada gesto carrega ciência, cada decisão, ética e cuidado.
4
Tecnologia de Ponta
Utilização de exames de imagem avançados, como ressonâncias magnéticas, tomografias computadorizadas, e planejamentos cirúrgicos digitais para os tratamentos individualizados.
Cada avanço é incorporado para elevar a qualidade do nosso trabalho; técnica e tecnologia garantem segurança e excelência. Dr. Roger traz a ciência a serviço do seu bem-estar.
Convênios
Aceitamos a maioria dos planos de saúde
(alguns por reembolso).
Se o seu convênio for registrado na ANS (Agência Nacional de Saúde Suplementar), os procedimentos cirúrgicos bucomaxilofaciais incluindo internação, anestesista e materiais requeridos deverão ser cobertos pelo mesmo.
Desta forma Dr. Roger F. de Carvalho é devidamente habilitado, e portanto está apto a atender todos os convênios ou planos de saúde de âmbito nacional.
Para você conhecer melhor não só seus direitos, como também as normativas e resoluções relacionadas aos convênios ou planos de saúde, acesse:
CONSULTORIA, ASSESSORIA E MENTORIA (CAM)
O SECOAM oferece a CAM, que é um grandioso projeto envolvendo: suporte, otimização e planejamento; onde serão apresentadas soluções inéditas e individualizadas, dentro da realidade de cada profissional. Para que sua vida profissional siga sempre os caminhos da excelência, prosperidade e sucesso!
FALE CONOSCO E FAÇA PARTE DESTA EQUIPE, SENDO MAIS UM PARCEIRO(A) DE SUCESSO DO SECOAM.
SEJA BEM-VINDO(A), ESTAMOS JUNTOS NESSA!
Importante: A CAM não é restrita aos profissionais da odontologia; e sim aberta a todos os profissionais da área da saúde e profissionais afins.































